Etiqueta: Destacado

Rehabilitación de un Ictus, causas, síntomas, factores de riesgo
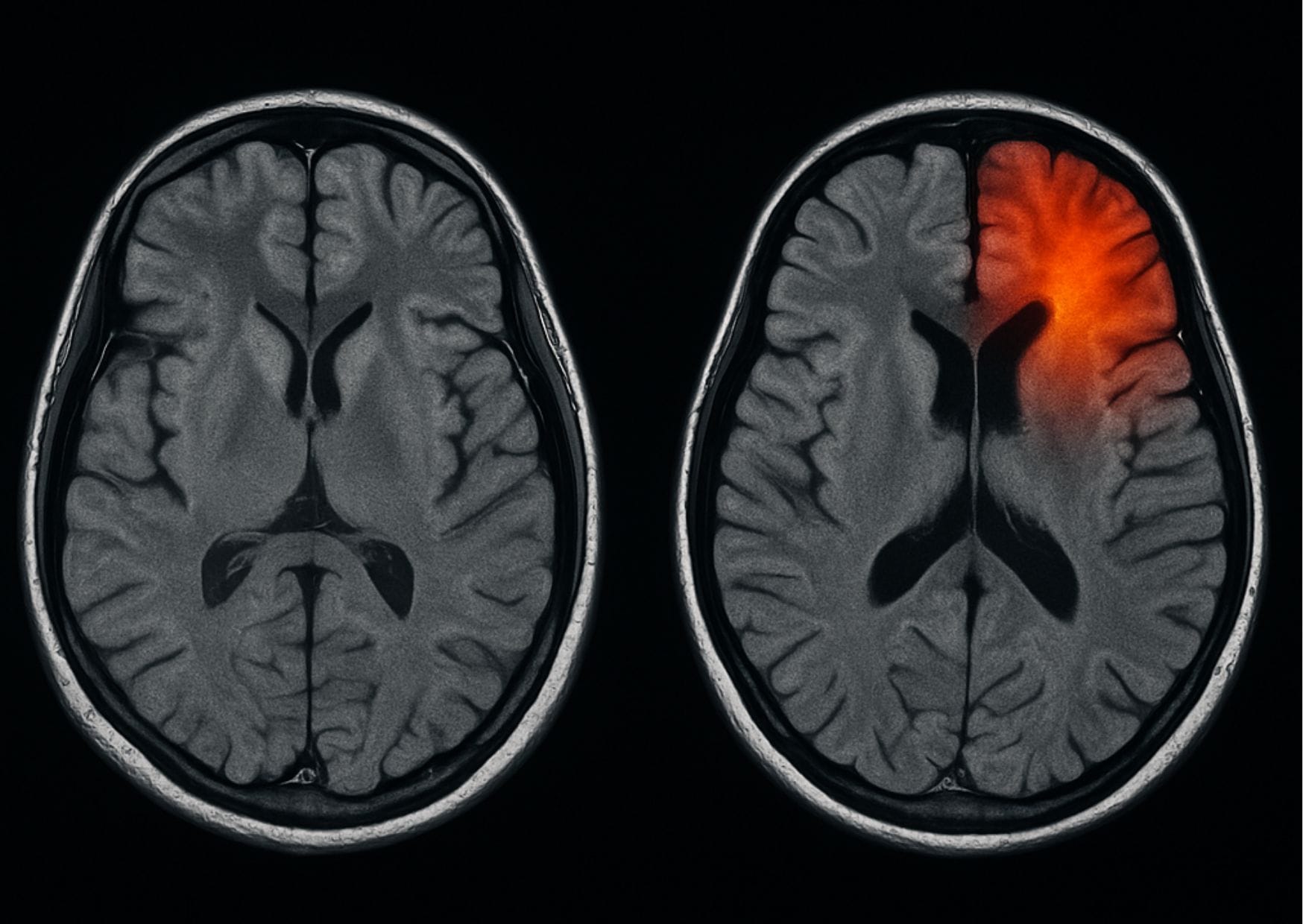
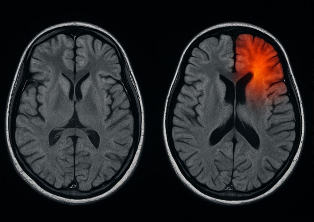
Rehabilitación de un Ictus, causas, síntomas, factores de riesgo La rehabilitación de un ictus es uno de los procesos más importantes para recuperar la independencia y la calidad de vida tras haber sufrido este episodio. Cada 29 de octubre, en el Día Mundial del Ictus, recordamos que actuar a tiempo puede marcar la diferencia, pero…

Clínica de neurorrehabilitación en Gijón, ¡tu recuperación en las mejores manos!
Clínica de neurorrehabilitación en Gijón, ¡tu recuperación en las mejores manos! Nuestra clínica de neurorrehabilitación en Gijón se ha convertido en un punto de apoyo para muchas personas que, tras un ictus, una lesión neurológica o una enfermedad degenerativa, buscan recuperar su independencia y volver a sentirse seguras en su cuerpo. A veces no se…

